Webinaire du 10 mars 2026 19:00 Glaucome et IOL premium Dr Esther BLUMEN 19:18 Cataracte et glaucome à angle fermé Dr Elisa BLUWOL 19:36 Chirurgies combinées cataracte et chirurgie filtrante Pr Cédric SCHWEITZER 19:54 Chirurgies combinées cataracte et MIGS...
Le syndrome d’iris plateau
Le syndrome d’iris plateau est une forme particulière et peu fréquente de glaucome par fermeture de l’angle, qui peut survenir malgré la présence d’une iridotomie patente. Le terme d’iris plateau décrit la présence d’un iris plat, dont la face antérieure se dirige de manière rectiligne presque jusqu’au niveau du trabéculum, puis décrit une convexité postérieure importante, délimitant ainsi un récessus angulaire étroit et très incliné par rapport au plan de l’iris. En cas de syndrome d’iris plateau, une dilatation pupillaire peut aboutir à une fermeture de l’angle irido-cornéen par épaississement de la racine de l’iris, même en présence d’une iridotomie, et donc en l’absence de blocage pupillaire. En cas de configuration d’iris plateau, une configuration anatomique relativement similaire de l’iris s’associe à une composante de blocage pupillaire pour aboutir à une fermeture de l’angle irido-cornéen, et de ce fait l’iridotomie permet dans ce cas d’obtenir une réouverture de l’angle irido-cornéen. Le syndrome et la configuration d’iris plateau sont des entités anatomo-cliniques qui ont été décrites relativement récemment. L’avènement de la biomicroscopie ultrasonore a permis un net progrès dans la compréhension de leurs mécanismes physiopathologiques.
Le syndrome d’iris plateau
Le syndrome d’iris plateau survient plus fréquemment chez des sujets jeunes, hypermétropes et de sexe féminin. Bien que l’incidence globale des syndromes d’iris plateau soit faible, c’est la première cause de fermeture de l’angle chez les sujets de moins de 50 ans.1
Le syndrome d’iris plateau est caractérisé par une fermeture aigue ou chronique de l’angle irido-cornéen secondaire à des anomalies de forme et de position du corps ciliaire et de la racine de l’iris. Un corps ciliaire anormalement volumineux et positionné de façon très antérieure va mécaniquement rapprocher la périphérie de l’iris du trabéculum. A l’occasion d’une dilatation pupillaire, ou même parfois spontanément, la racine de l’iris va s’épaissir et former l’équivalent d’un bourrelet qui va combler le récessus angulaire très étroit et venir s’apposer au trabéculum. En cas de syndrome d’iris plateau pur, ce seul mécanisme va aboutir à la fermeture de l’angle irido-cornéen sans participation d’un mécanisme de blocage pupillaire. De ce fait, l’iridotomie ou l’iridectomie ne modifieront pas la position de l’iris en ne permettront pas une réouverture de l’angle irido-cornéen. Il est à noter que, dans de rares cas, de multiples kystes du corps ciliaire ou de l’épithélium pigmenté de l’iris peuvent aboutir à un tableau clinique très comparable. L’examen ultrabiomicroscopique permet dans ces cas d’éliminer ces diagnostics différentiels et d’orienter vers une prise en charge thérapeutique adaptée.
La configuration d’iris plateau
La configuration d’iris plateau associe, dans des parts variables, un aspect anatomique d’iris plateau décrit ci-dessus et un mécanisme de blocage pupillaire. Elle survient généralement chez des sujets plus âgés, l’augmentation du volume du cristallin majorant le blocage pupillaire relatif. L’anomalie de forme et de position du corps ciliaire et de la racine de l’iris ne permet pas, dans ce cas, d’aboutir à elle seule à une fermeture complète de l’angle irido-cornéen. Le mécanisme de blocage pupillaire coexistant va participer à la fermeture de l’angle irido-cornéen, et explique l’efficacité d’une iridotomie ou d’une iridectomie. Le blocage pupillaire résulte de la diminution de l’espace entre la face antérieure du cristallin et la face postérieure de l’iris, aboutissant à une augmentation de la résistance à l’écoulement de l’humeur aqueuse au travers de l’orifice pupillaire et à une augmentation du gradient de pression entre la chambre postérieure et la chambre antérieure. Cette différence de pression de part et d’autre de l’iris va déplacer vers l’avant l’iris, notamment la périphérie de l’iris qui est plus fine et probablement plus mobile du fait de la situation anatomique des muscles dilatateurs et sphincters de l’iris qui sont essentiellement responsables des propriétés biomécaniques de l’iris.
Diagnostic clinique et échographique
La fermeture de l’angle aboutissant à une élévation de la pression intraoculaire peut être brutale ou au contraire progressive, et secondaire à une dilatation pupillaire ou spontanée. L’examen biomicroscopique du segment antérieur montre la présence d’une chambre antérieure de profondeur normale ou légèrement diminuée, et une surface antérieure de l’iris plane ou très légèrement convexe. L’examen gonioscopique retrouve un angle iridocornéen très étroit ou fermé, avec un récessus angulaire très marqué et profond (convexité postérieure de l’iris très périphérique et très marquée). Le passage de la lumière à l’obscurité aboutit à un épaississement périphérique de l’iris et à un comblement du récessus angulaire parfois visibles lors de l’examen gonioscopique. La gonioscopie dynamique ne permet qu’une réouverture partielle de l’angle irido-cornéen, souvent moins nette que celle observée en cas de fermeture de l’angle consécutive à un blocage pupillaire.
Le syndrome d’iris plateau pur est relativement rare, et l’association à une composante de blocage pupillaire assez fréquente. De ce fait, le diagnostic de syndrome d’iris plateau ne peut être posé qu’en cas de fermeture de l’angle persistant malgré la présence d’une iridotomie ou iridectomie patente. Les signes cliniques d’iris plateau étant souvent assez discrets, c’est fréquemment l’absence de réouverture de l’angle après iridotomie qui amène le clinicien à rechercher et à reconnaître un syndrome d’iris plateau.
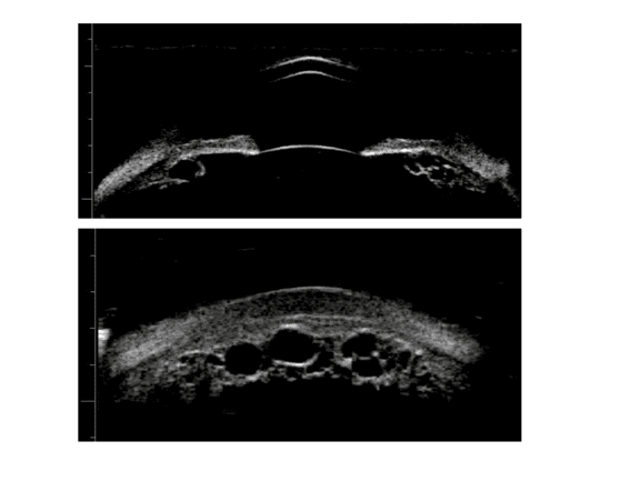
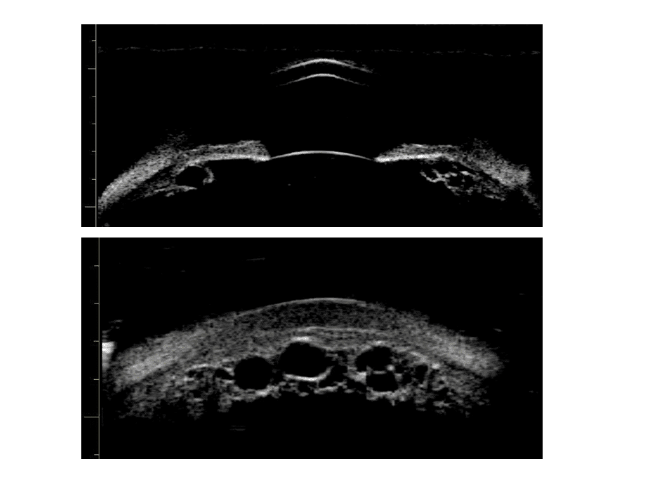
La biomicroscopie ultrasonore est la méthode de choix pour examiner le corps ciliaire et caractériser un syndrome d’iris plateau.2,3 Les principales caractéristiques échographiques d’un syndrome d’iris plateau sont (Figure 1) :
- Un corps ciliaire volumineux (notamment des procès volumineux)
- Une antéroposition du corps ciliaire
- Un effacement partiel ou complet du sulcus ciliaire
- Une profondeur de chambre antérieure normale ou légèrement diminuée
- Une distance corps ciliaire-trabéculum très diminuée
Figure 1. Biomicroscopie ultrasonore (Aviso 50 MHz, Quantel, France).
Iridotomie et iridoplastie
Le syndrome d’iris plateau pur est relativement rare, et l’association à une composante de blocage pupillaire assez fréquente. Les examens cliniques aussi bien qu’échographiques ne permettent jamais d’éliminer avec certitude un mécanisme de blocage pupillaire associé. De ce fait, il est maintenant unanimement reconnu qu’une iridotomie laser est la première étape de la prise en charge et un préalable indispensable au diagnostic de syndrome d’iris plateau. La mise en évidence des caractéristiques cliniques et échographiques décrites ci-dessus puis l’absence de réouverture de l’angle irido-cornéen après une iridotomie patente permettent ensuite d’établir le diagnostic de syndrome d’iris plateau. Une iridoplastie peut alors proposée, et permet parfois en rétractant et en amincissant la base de l’iris d’élargir le récessus angulaire et de réouvrir l’angle irido-cornéen.4 L’existence de synéchies antérieures périphériques ne semble pas contre-indiquer la réalisation d’une iridoplastie laser, lorsque celles-ci n’atteignent pas toute la circonférence de l’angle irido-cornéen, permettant ainsi une réouverture au moins partielle de l’angle. Un traitement médical par myotiques permet également d’amincir la périphérie de l’iris et de réouvrir l’angle. Enfin, en l’absence de réouverture de l’angle associée à un mauvais contrôle pressionnel, une trabéculectomie et/ou une extraction du cristallin peuvent alors être indiquées. Du fait de la configuration de l’angle irido-cornéen, les chirurgies filtrantes non perforantes ne sont probablement pas adaptées, même après réalisation d’une iridoplastie laser.
Conclusions : Le syndrome d’iris plateau pur est probablement nettement moins fréquent que la configuration d’iris plateau, qui combine des anomalies des anomalies de forme et de position du corps ciliaire et de l’iris à une part de blocage pupillaire qui participe à la fermeture de l‘angle. De ce fait, il est nécessaire de réaliser une iridotomie avant de pouvoir pose avec certitude le diagnostic de syndrome d’iris plateau, en cas d’inefficacité de celle-ci. Dans ce cas, une iridoplastie peut être envisagée. Il faut savoir que les différentes études publiées ne sont pas unanimes quant à l’efficacité de l’iridoplastie en cas de syndrome d’iris plateau, et les indications d’iridoplastie doivent donc être posées avec prudence. En cas d’échec de l’iridoplastie, l’extraction du cristallin et/ou les chirurgies filtrantes perforantes sont des méthodes efficaces pour réduire la pression intraoculaire. En l’absence de synéchies antérieures périphériques étendues, la chirurgie du cristallin est probablement une méthode simple, efficace et qui peut-être recommandée.
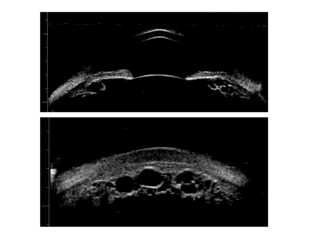
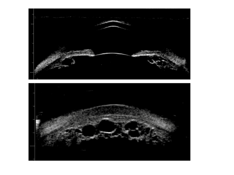
Figure 2. Diagnostic différentiel : polykystose ciliaire.
Références
- Ritch R, Chang BM, Liebmann JM. Angle closure in younger patients. Ophthalmology. 2003 Oct;110(10):1880-9.
- Liebmann JM, Ritch R. Ultrasound biomicroscopy of the anterior segment. J Am Optom Assoc. 1996 Aug;67(8):469-79.
- Pavlin CJ, Ritch R, Foster FS. Ultrasound biomicroscopy in plateau iris syndrome
Am J Ophthalmol. 1992 Apr 15;113(4):390-5. - Ritch R, Tham CC, Lam DS. Long-term success of argon laser peripheral iridoplasty in the management of plateau iris syndrome. Ophthalmology. 2004 Jan;111(1):104-8.