Webinaire du 10 mars 2026 19:00 Glaucome et IOL premium Dr Esther BLUMEN 19:18 Cataracte et glaucome à angle fermé Dr Elisa BLUWOL 19:36 Chirurgies combinées cataracte et chirurgie filtrante Pr Cédric SCHWEITZER 19:54 Chirurgies combinées cataracte et MIGS...
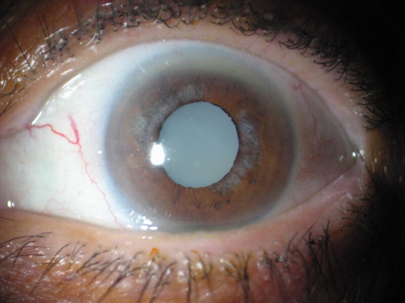
Séquelles chroniques de glaucome aiguë par fermeture de l’angle
Notez les zones d’atrophie irienne siégeant dans le pourtour pupillaire et la cataracte.
(Cliché du à l’amabilité de Denis Ph, Lyon)
Mots clés : atrophie irienne | cataracte